Accessibility
A
A
A
Map marker icon
Pin-shapped marker used to pinpoint a location on a map
13920 West Camino Del Sol, Suite 11, Sun City West, AZ
Phone icon
Simplistic phone handset without a cord
623-556-5442
Request Appointment
Map marker icon
Pin-shapped marker used to pinpoint a location on a map
Phone icon
Simplistic phone handset without a cord
Calendar icon
Simplified calendar with two rows of four day squares
Home
About
Our Clinic
Owen Trinh, DMD
Meet Our Team
Why Choose a Periodontist?
Mouth Body Connection
Our Technology
Why Choose Dr. Trinh, DMD?
Dental Services
All on 4 Treatment Concept
Scaling and Root Planing
Supported Periodontal Therapy
Frenectomy
Gingival Contouring
Gum Graft Surgery
Soft Tissue Grafting
PAOO Surgery
Extractions
Platelet Rich Plasma
Leukocyte Platelet Rich Fibrin
Cracked Tooth
Oral Cancer Screening
Periodontics
What is Periodontal Disease?
Who is a Candidate?
Symptoms of Gum Disease
How is Gum Disease Treated?
Bone Regeneration
Dental Consequences of Periodontal Disease
Surgical Treatment Options
Non-Surgical Treatment
Periodontal Maintenance
Common Questions About Gum and Bone Diseases
Dental Implants
Benefits of Implant Dentistry
Dental Implant Placement
Immediate Loading Implant Options
Immediate Implant Temporizations
Bone Grafting
Dental Implant FAQ
Implant Supported Dentures
Patient Info
Case Studies
Patient Testimonials
New Patient Forms
Surgical Instructions
Financial & Office Policies
Contact
Doctor Referrals
Spear Study Club Program
Doctor Referral Form
Home
About
Our Clinic
Owen Trinh, DMD
Meet Our Team
Why Choose a Periodontist?
Mouth Body Connection
Our Technology
Why Choose Dr. Trinh, DMD?
Dental Services
All on 4 Treatment Concept
Scaling and Root Planing
Supported Periodontal Therapy
Frenectomy
Gingival Contouring
Gum Graft Surgery
Soft Tissue Grafting
PAOO Surgery
Extractions
Platelet Rich Plasma
Leukocyte Platelet Rich Fibrin
Cracked Tooth
Oral Cancer Screening
Periodontics
What is Periodontal Disease?
Who is a Candidate?
Symptoms of Gum Disease
How is Gum Disease Treated?
Bone Regeneration
Dental Consequences of Periodontal Disease
Surgical Treatment Options
Non-Surgical Treatment
Periodontal Maintenance
Common Questions About Gum and Bone Diseases
Dental Implants
Benefits of Implant Dentistry
Dental Implant Placement
Immediate Loading Implant Options
Immediate Implant Temporizations
Bone Grafting
Dental Implant FAQ
Implant Supported Dentures
Patient Info
Case Studies
Patient Testimonials
New Patient Forms
Surgical Instructions
Financial & Office Policies
Contact
Doctor Referrals
Spear Study Club Program
Doctor Referral Form
Home
›
Patient Info
›
Case Studies
›
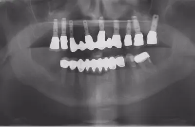
Multiple Implants Case Study
Multiple Implants
Sun City West, AZ
Locations We Serve
Ashton Ranch
El Mirage
Kingswood Parke
Mountain Vista Ranch
Sun City Grand
Sun City
Commercial Core
Surprise Farms
Surprise
Copyright © 2025-2026
Implant & Periodontics Solutions
and
WEO Media - Dental Marketing
(Touchpoint Communications LLC). All rights reserved.
Sitemap
Implant & Periodontics Solutions, 13920 West Camino Del Sol Suite 11, Sun City West, AZ 85375 - 623-556-5442 - implantandperiodontics.com - 5/19/2026 - Related Phrases: Periodontist Sun City West AZ -